Richard Dern

Grassette commune

Grassette commune

Je continue l’exploration de mon jardin (et de mon microscope), avec une fleur identifiée comme étant une grassette commune.

Grassette commune

Grassette commune

Attribution : Richard Dern

Enhardi par mes expériences précédentes, notamment avec la glycérine végétale comme milieu de montage, j’ai procédé de même ici, avec beaucoup moins de succès.

Autant les grosses bulles ne posent pas de réel problème pour l’observation, autant des micro-bulles sont apparues un peu partout sur la lame, s’engouffrant dans les moindres interstices.

Grassette commune

Grassette commune

Une étamine vue au 4x. Je n’ai pas été capable d’identifier quoique ce soit en augmentant le grossissement, la faute aux micro-bulles causées par la glycérine.

Attribution : Richard Dern

Il y a plusieurs choses à noter à ce stade :

Grassette commune

Grassette commune

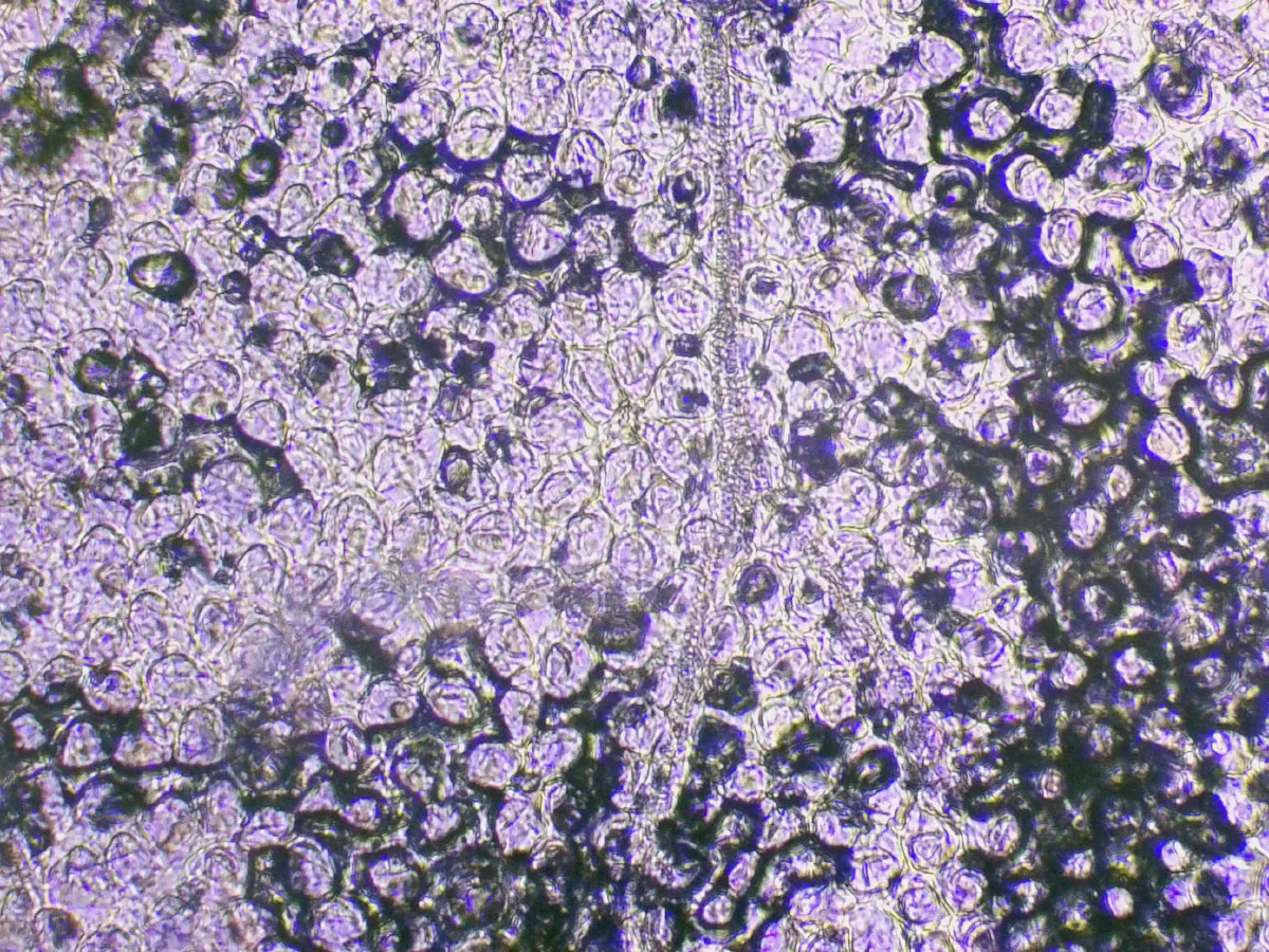
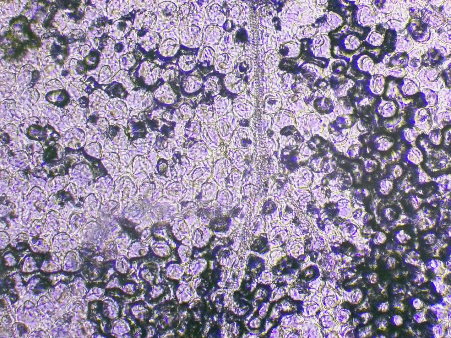
Bien qu’une observation digne de ce nom soit compromise par les bulles causées par la glycérine végétale, on peut malgré tout observer la forme caractéristique des cellules papillaires du pétale.

Attribution : Richard Dern

Ici, par exemple, on peut voir sur la droite la forme caractéristique des cellules papillaires, contenant des anthocyanes, conférant la couleur caractéristique de la fleur.

Grassette commune

Grassette commune

Des poils apparaissent sur les pétales de cette grassette.

Attribution : Richard Dern

Grassette commune

Grassette commune

Des poils apparaissent sur les pétales de cette grassette.

Attribution : Richard Dern

Ça m’a surpris, mais la grassette est une plante carnivore commune.

Si des poils collants sont bien visibles au centre de la plante à l’échelle macroscopique, je n’ai pas vu de poil sur les pétales à l’œil nu, ce que semble confirmer la Wikipédia :

Notons aussi que la plante entière, à l’exception des pétales, est recouverte de glandes collantes destinées à piéger de petits insectes

Pourtant, les structures tubulaires que l’on voit sur les deux photos précédentes semblent bien être des poils.

À ce stade, l’explication la plus probable est que je me sois trompé quelque part :

Grassette commune

Grassette commune

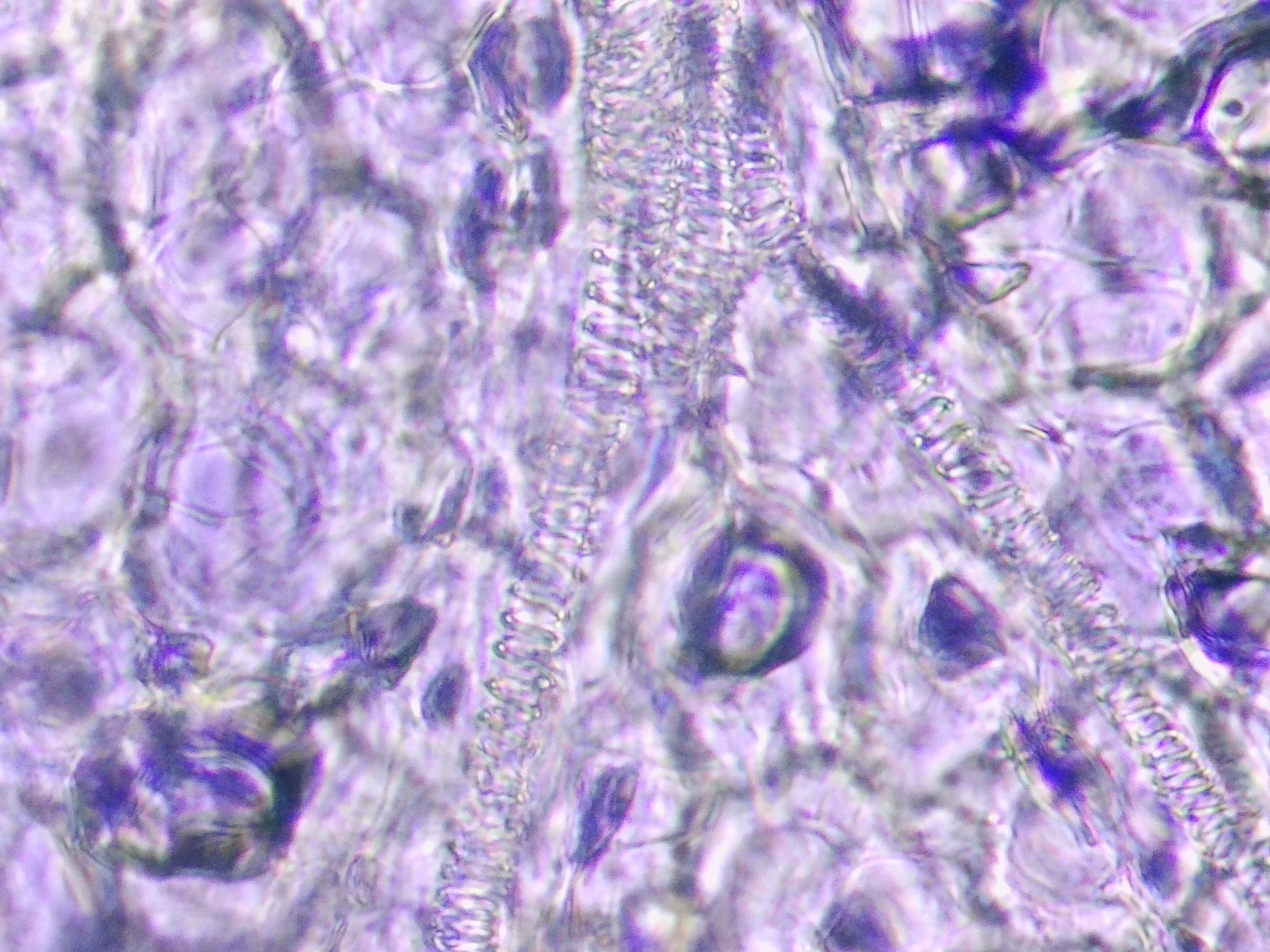
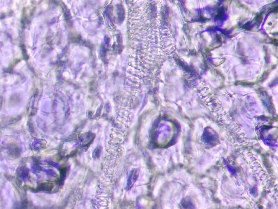
Structure hélicoïdale à l’objectif 40x

Attribution : Richard Dern

J’ai également pu observer une structure hélicoïdale (que l’on retrouvera sur une autre fleur dans un article ultérieur) qui pourrait être un vaisseau irriguant la fleur en xylème. Si c’était le cas, une coloration au phloroglucinol devrait mettre en évidence la lignine qui le compose.

Ainsi, malgré une préparation ratée, j’ai pu observer des structures intéressantes, et surtout, découvrir une plante carnivore dans mon jardin.

Soutenir le site

Si mon travail vous a été utile, vous pouvez contribuer aux frais qui permettent au site de rester en ligne, sans publicité intrusive.

Le paiement se fait sur la plateforme choisie : je ne reçois ni ne stocke vos données bancaires.

  • Ko-fi

    Plateforme spécialisée dans le soutien aux créateurs, adaptée aux dons ponctuels sans engagement.

  • PayPal

    Service de paiement très répandu, pratique si vous l'utilisez déjà.

À quoi servent les dons ?

Taxonomies

Entreprises
Tags

Observations florales printanières

Articles relatifs

Historique des modifications

  1. Suppression des commentaires
  2. Ajustement des mots-clés
  3. Récupération d'articles d'archives
  4. Mise à jour des dates/heures dans les articles
  5. Intégration des liens lemmy
  6. Ajout de données météo
  7. Added missing dossier
  8. Grassette commune