Je continue l’exploration de mon jardin (et de mon microscope), avec une fleur identifiée comme étant une grassette commune.

Attribution : Richard Dern
Enhardi par mes expériences précédentes, notamment avec la glycérine végétale comme milieu de montage, j’ai procédé de même ici, avec beaucoup moins de succès.
Autant les grosses bulles ne posent pas de réel problème pour l’observation, autant des micro-bulles sont apparues un peu partout sur la lame, s’engouffrant dans les moindres interstices.
Une étamine vue au 4x. Je n’ai pas été capable d’identifier quoique ce soit en augmentant le grossissement, la faute aux micro-bulles causées par la glycérine.

Attribution : Richard Dern
Il y a plusieurs choses à noter à ce stade :
- la glycérine est un milieu de montage très confortable, mais pas approprié à tous les cas
- peut-être que si j’avais davantage pris mon temps pour préparer la lame, j’aurais eu moins de bulles (ou pas !)
- pour une observation dans un cadre hobbyiste, cela n’empêche pas de découvrir des choses intéressantes
Bien qu’une observation digne de ce nom soit compromise par les bulles causées par la glycérine végétale, on peut malgré tout observer la forme caractéristique des cellules papillaires du pétale.

Attribution : Richard Dern
Ici, par exemple, on peut voir sur la droite la forme caractéristique des cellules papillaires, contenant des anthocyanes, conférant la couleur caractéristique de la fleur.
Des poils apparaissent sur les pétales de cette grassette.

Attribution : Richard Dern
Des poils apparaissent sur les pétales de cette grassette.

Attribution : Richard Dern
Ça m’a surpris, mais la grassette est une plante carnivore commune.
Si des poils collants sont bien visibles au centre de la plante à l’échelle macroscopique, je n’ai pas vu de poil sur les pétales à l’œil nu, ce que semble confirmer la Wikipédia :
Notons aussi que la plante entière, à l’exception des pétales, est recouverte de glandes collantes destinées à piéger de petits insectes
Pourtant, les structures tubulaires que l’on voit sur les deux photos précédentes semblent bien être des poils.
À ce stade, l’explication la plus probable est que je me sois trompé quelque part :
- ce que j’observe n’est pas une grassette (alors qu’Apple Intelligence et ChatGPT l’ont immédiatement identifiée comme telle, et la description de la Wikipédia me semble correspondre)
- c’est une grassette mais ce n’est pas un pétale que j’ai prélevé (j’ai pourtant coupé à l’extrémité de la partie colorée — ma botanique a beau être primitive, je crois bien que c’est un pétale)
- j’ai bien prélevé un pétale de grassette mais ce ne sont pas des poils
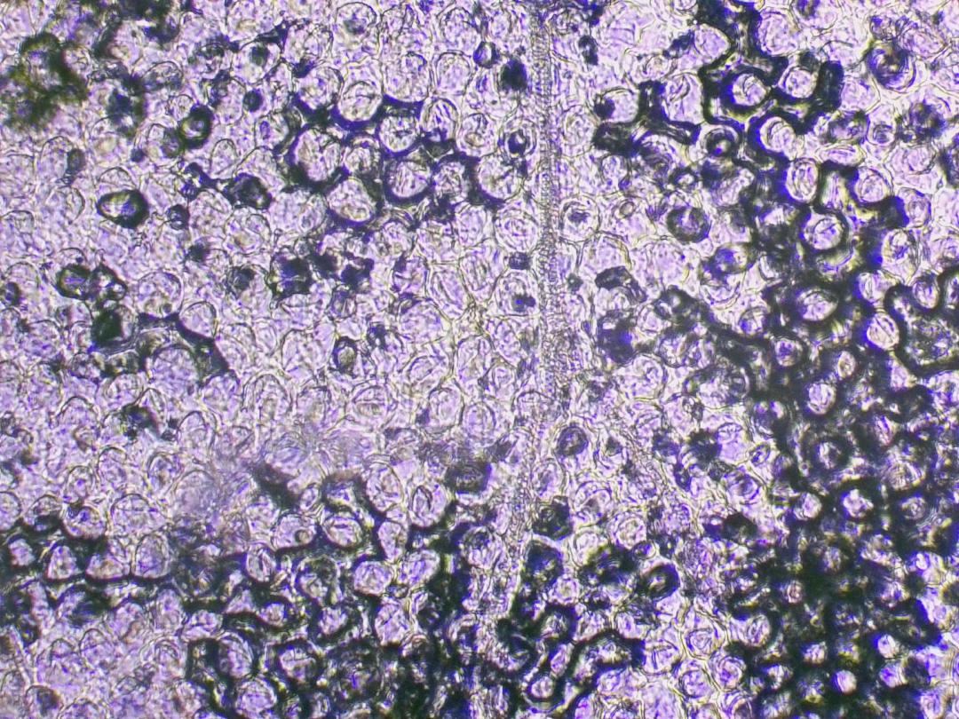
Structure hélicoïdale à l’objectif 40x

Attribution : Richard Dern
J’ai également pu observer une structure hélicoïdale (que l’on retrouvera sur une autre fleur dans un article ultérieur) qui pourrait être un vaisseau irriguant la fleur en xylème. Si c’était le cas, une coloration au phloroglucinol devrait mettre en évidence la lignine qui le compose.
Ainsi, malgré une préparation ratée, j’ai pu observer des structures intéressantes, et surtout, découvrir une plante carnivore dans mon jardin.